1. Home
  2. /
  3. Vitreo Retinal Diseases-I
  4. /
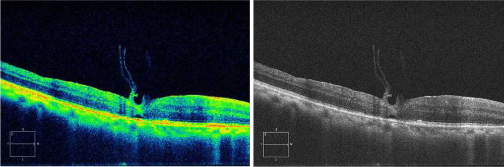
  5. FP448 : Macular Plug: analysis of SDOCT Changes Leading on to Hole Closure.